Стоматологический центр «Альфа-Дент»
Ровные, белоснежные, крепкие зубы - это не только красивая улыбка, но и хорошее здоровье. В нашем городе открыто много частных клиник предоставляющие платные услуги на лечение зубов, их протезирование, выравнивание, отбеливание, с применением хирургических вмешательств. Но не каждая из них имеет хороших врачей и многолетний опыт работы. Наша клиника расположена в центре города Йошкар-Олы и обладает современным оборудованием. Мы сможем избавить Вас от зубной боли и ночных страданий, вылечить зубы безболезненно даже в самой сложной ситуации. Посетив нашу клинику, специалисты найдут для Вас индивидуальный подход, разрабатывая необходимую методику восстановления зубов специально для Вас.
читать далее- Об организации
- Новости
- Отзывы
- Вакансии
- ДМС
-
Ещё...
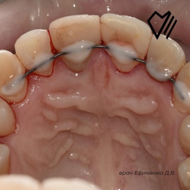
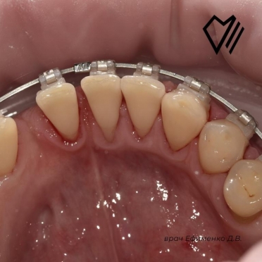
Предлагаем вашему вниманию работы врача стоматологической клиники «Энигма» Ефименко Дарьи Васильевны
11 июля 2024 17:24
Проведена профессиональная гигиена полости рта с брекетами.
Стоматологи рекомендуют проводить профессиональную гигиену с брекетами каждые 3-4 месяца.
+7 (8362) 45‒00‒20
Наш адрес: ул. Советская, 141Б
Заметили неточность?
Обновление: 26.11.2025
На сайте: 16 лет и 9 месяцев
Поделиться
Пожалуйста, выберите из нижеприведенного списка неточность которую вы увидели на страничке этого предприятия
